본문 바로가기
반응형

전체 글959

안와 림프증식질환, 안구 부속기 림프종, Orbital lymphoproliferative disorders (Orbital LPD), Ocular adnexal lymphoma (OAL) 눈물샘 (lacrimal gland)과, 결막의 고유층(conjunctiva lamina propria)에는 림프구가 존재할수 있습니다. 하지만 이들을 제외하고, 눈주위에 있는 어떠한 조직에도 정상적으로 림프구도 존재하지 않고, 림프절도 존재하지 않습니다. 즉, 안와내에서 발생하는 모든 림프성 병변은 병적인 것입니다. 이번에 이야기할 내용은, 안와에서 발생하는 림프의 증식, 안구 부속기(Ocular adnexa)에 발생하는 림프종(Ocular adnexal lymphoma, OAL) 즉, 안와의 림프종 (Orbital Lymphoma)에 대한 이야기입니다. 1. 눈꺼풀에 침범한 경우 눈꺼풀을 침범하게되면, 종양 덩어리로 인한, 기계적 눈꺼풀 처짐이 발생할수 있습니다. 안와 침범없이 눈꺼풀만 침범한 경우,.. 2018. 8. 31.
안과 영역에서의 림프종, 림포마, lymphoma 와 림프증식질환, lymphoproliferative disease, LPD 림프종(lymphoma), 혹은 림프 증식질환(lymphoproliferative disease, LPD)은 인체의 면역 세포인 림프구 (임파구, lymphocyte) 세포들로 이루어진 덩어리, 종양, 종괴를 의미합니다. 인체에서 림프구를 생성하고, 분화하고, 성숙시키는 역할을하는 것은 림프절(lymph node)이나 비장(spleen)이기때문에, 대부분의 림프구는 림프구나, 비장에 모여 있습니다. 따라서, 림프구들로 이루어진 림프종이 발생하게 되면, 림프종이 발생하는 위치가 림프절이나 비장인 경우가 절반 이상으로, 이러한 경우를 림프절 종양(Nodal group)이라고 합니다. 반면, 림프절 이외의 타 위치에서 기원한 경우는, 전체 림프종의 24% ~ 48% 정도로, 이들을 결절외 종양(Extranod.. 2018. 8. 30.
아스퍼질러스증, 안와의 아스페르길루스증, Orbial Aspergillosis 의 진단과 치료 아스퍼질러스(Aspergillosis)는 면역기능이 저하되지 않은 정상인에서는 드물게, 면역저하자에서는 다소 흔하게 발견되는 곰팡이, 진균입니다. 안와 아스퍼질러스증(Orbital aspergillosis)은 비교적 드문 질환이나 최근들어 항생제, 스테로이드제, 항암제의 빈번한 사용으로 인하여 점차 증가하는 추세를 보이고 있습니다. 주로 부비동에서 감염이 파급되어 발생하며 심한 경우 안와나 두개강 내까지 전파되기도 하며 항암제 사용이나 후천성면역결핍증 등으로 인해 저항력이 감퇴된 환자에서 주로 발생합니다. 진단은 임상양상이나 단순 방사선 소견에만 의존할 수 없고 조직생검을 하여 병리조직학적 검사를 반드시 시행해야 합니다. 격벽과 분지된 균사가 약 45° 각도로 배열되어 형성된 균사가 발견되어야 하는데, .. 2018. 8. 24.
Aspergillus, 아스퍼질러스, 국균에 의한 눈주위 감염, 안와 감염, Orbital Aspergillosis 아스퍼길러스, 아스퍼질러스 아스페르길루스, 아스페르질루스 혹은 국균증이라고 불리는, Aspergillosis는, 칸디다균(Candida spp.)에 이어 면역기능이 저하된 환자에게서 두 번째로 흔하게 발생하는 기회감염으로 알려져 있습니다. 침윤성 아스퍼질러스증(Invasive aspergillosis)은 주로 코와 부비동에서 시작하게 되는데, 코에만 감염이 머무르지 않고, 주위로 감염이 퍼져나갈수있습니다. 앞서 살펴본, 뮤코르 진균증(털곰팡이증, mucormycosis)에서와 마찬가지로, [안과 질환과 안과 치료/성형안과] - 뮤코르 진균증, 모균증, 뮤코르 곰팡이에 의한 안와 연조직염, Orbital Mucormycosis [안과 질환과 안과 치료/성형안과] - 뮤코르 진균증, rhinocerebral.. 2018. 8. 23.
안과 논문리뷰 : 안구건조증에서의 IPL 치료와 눈꺼풀 기름샘 짜기 동시치료의 효과 앞선 포스팅에 이어서, 마이봄샘 기능장애, MGD 와 함께 이로인한 안구건조증이 있는 환자들에서, 마이봄 IPL 과 눈꺼풀 짜기의 병합치료의 효과를 기존의 눈꺼풀 짜기 치료(meibomian gland expression, MGX)와 비교한 논문의 연구 결과에 대해 알아보겠습니다. [논문으로 보는 안과 눈 이야기/안구건조증과 마이봄샘기능장애] - 안과 논문 번역 : 마이봄샘기능장애에서의 IPL 치료와 기름샘 짜기(마이봄샘 압출) 병행치료의 효과 안과 논문번역 84번째 논문 입니다. 저자들은 환자들의 양쪽 눈중에서 임의로 랜덤하게 한쪽눈에는 진짜 IPL 치료를 시행하고 난뒤, 눈꺼풀 짜기 치료(IPL + MGX)를 시행하고, 다른눈에는 가짜 IPL 치료를 시행하고 난뒤, 눈꺼풀 짜기 치료(MGX)를 시행하.. 2018. 8. 22.
안과 논문 번역 : 마이봄샘기능장애에서의 IPL 치료와 기름샘 짜기(마이봄샘 압출) 병행치료의 효과 마이봄샘기능장애, Meibomian Gland Dysfunction, MGD 는 눈꺼풀 테두리에 존재하는 기름샘인 마이봄샘에서 발생하는 이상으로, 마이봄의 배출구가 막히거나, 마이봄 자체의 질적, 양적 변화가 발생한 상태입니다. 마이봄샘 기능장애(MGD)는 눈물막의 변화, 안구 자극감의 증가, 눈꺼풀 테두리의 염증, 안구 표면의 질환의 발생으로이어지게되며, 특히 국내를 포함하여, 중국, 일본 등의 아시아인에서흔하다고 보고되어 있습니다. 특히 나이든 환자에서 서양에서는 유병률이 3.5% ~ 21.9% 에 불과한데 비해 아시아인에서는 46.2% ~ 69.3% 에 달하는 높은 유병률을 보이게 됩니다. 현재까지 알려진 마이봄샘 기능장애 (MGD)의 치료는인공눈물 점안(artificial tear)항염증제 (an.. 2018. 8. 21.
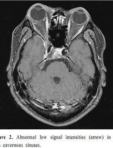
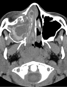
골막하농양(Subperiosteal abscess), 안와농양(Orbital acscess), 해면정맥굴혈전(Cavernous sinus thrombosis) 안와 연조직염(Orbital cellulitis)은, 코곁굴염(sinusitis)눈꺼풀염(blepharitis)눈물주머니염(dacryocystitis)혈행성 전파(hematogenous origin)외상(trauma) 이러한 다양한 원인으로부터 감염이 파급되어 나타나는 대표적인 안와 감염 질환으로 소아에서는 안구돌출의 가장 흔한 원인이 됩니다. 안와 연조직염의 가장흔한 원인은, 코곁굴염, 즉 급성축농증인데, 축농증이 발생한뒤, 염증과 감염이 코의 공간인 부비강에서부터 눈의 공간인 안와 쪽으로 전파되는 것입니다. 이렇게 뼈를 타고 코쪽에서부터 넘어온 감염이, 안와내에 퍼져 있는 것이 안와 연조직염(orbital cellulitis)이고, 안와내로 퍼지지 못하고 안와의 골막하에 고여서 농, 고름이 차는 것이.. 2018. 8. 20.
어린이, 소아에서의 세균성 안와 연조직염, Orbital cellulitis 안와 주위의 감염성 질환은 모든 연령대에서 발생할 수 있고 잠재적으로 시력과 생명을 위협할만한 합병증을 일으킬 수 있는 질환입니다. 특히, 안와 연조직염, Orbital cellulitis 는 항생제의 발달과 적절한 사용으로 잘 치료되어 이로인한 합병증의 빈도는 낮아졌지만, 빠르게 진단하고 적절하게 치료하지 않는다면 실명, 해면정맥굴혈전, 뇌수막염, 경막하축농, 뇌농양과 같은 심각한 합병증을 초래할 수 있습니다. 안와 연조직염, Orbital cellulitis 는 성인에 비해 소아에서 흔하게 발생합니다. 실제로 소아에서 발생하는 안구돌출의 가장 흔한 원인이 바로, 세균성 안와연조직염(bacterial orbital cellulitis)입니다. 하지만 소아 환자들은 증상을 잘 호소하지 못하며 전형적인 증.. 2018. 8. 19.
안와 연조직염, Orbital cellulitis, 안와 사이막뒤 연조직염, Post Septal cellulitis 안와 연조직염이란.. 눈을 둘러 싸고 있는 뼈인 안와(orbit) 주위의 부드러운 조직(연조직)에 발생하는 염증을 의미합니다. 즉, 눈을 둘러싸고 있는 눈 주위의 피부, 근육, 지방 등의 조직에 감염, 염증이 발생하는 것을 의미하며, 비교적 흔하게 발생하는 안질환으로 성인에 비해 소아에서 흔하게 발생합니다. 이러한 감염이 발생하는 이유는, 세균 감염에 의한 것으로.. 최근 효과적인 항생제의 사용으로 합병증의 빈도는 낮아졌지만, 적절하게 치료하지 않는다면 실명, 뇌수막염, 경막하축농, 뇌농양과 같은 심각한 합병증을 초래할 수 있어, 빠르고 정확한 진단이 필수적입니다. 2018. 8. 18.
반응형